
鏡を見るたびに気になる前歯のすき間。
「矯正は時間がかかるし、歯を削るセラミックには抵抗がある……」とお悩みではありませんか?
そんなお悩みを持つ方に、福岡市西区・姪浜の池尻歯科医院では、歯をほとんど削らずに短期間で治療できる「ダイレクトボンディング」をご提案しています。
本記事では、日本顕微鏡歯科学会の認定医が、すきっ歯の原因から治療のメリット・デメリット、気になる費用まで、実際の症例を交えて詳しく解説します。
この記事の監修歯科医師

池尻歯科医院
池尻 敬 院長
福岡市西区姪浜にある「池尻歯科医院」の院長。「日本顕微鏡歯科学会 認定医・理事」を務め、「日本歯周病学会 認定医」の資格を有する。
マイクロスコープを用いて歯をできるだけ削らず、噛み合わせも考慮した上で「自然な口元」に導く精密な治療に努める。
目次
- 1 すきっ歯(空隙歯列・正中離開など)の主な原因とは?
- 2 すきっ歯の治療法5選|費用・期間・特徴を比較
- 3 初回カウンセリングのお問い合わせはこちら
- 4 すきっ歯治療にダイレクトボンディングを選ぶメリット・デメリット
- 5 福岡市西区・姪浜でダイレクトボンディングなら「池尻歯科医院」が選ばれる理由
- 6 【福岡・池尻歯科医院】すきっ歯のダイレクトボンディング症例
- 7 「自分のすきっ歯も、ダイレクトボンディングでキレイになる?」ご相談は池尻歯科院へ
- 8 ダイレクトボンディングの費用と治療回数・期間
- 9 池尻歯科医院でのダイレクトボンディング治療の流れ
- 10 すきっ歯のダイレクトボンディングに関するよくある質問(Q&A)
- 11 福岡市西区(姪浜)ですきっ歯にお悩みの方は池尻歯科医院へご相談ください
すきっ歯(空隙歯列・正中離開など)の主な原因とは?
歯と歯の間にすき間がある状態を「空隙歯列(くうげきしれつ)」、特に上の前歯の真ん中にすき間がある状態を「正中離開(せいちゅうりかい)」と呼びます。すきっ歯の主な原因は、大きく以下の3つに分けられます。
①生まれつきの要因(先天性の原因)
顎に対して歯が小さい(矮小歯)、歯の数が足りない(先天性欠如)、上唇のすじ(上唇小帯)の異常など。
②日常の癖や病気(後天性の原因)
幼少期の指しゃぶりや、無意識に舌で前歯を押す癖、歯周病の進行による歯の移動など。
③歯科治療による影響
矯正治療後の「後戻り」や、歯周病・虫歯治療後に歯茎が引き締まることで生じる根元のすき間(ブラックトライアングル)など。
※どのような原因であっても、ご自身の歯を大きく削ることなくダイレクトボンディングで改善できるケースが多くあります。
すきっ歯の治療法5選|費用・期間・特徴を比較
すきっ歯の治療法は、すき間の広さや原因、患者様のご希望によって種類があります。代表的な治療法を比較してみましょう。

すきっ歯の治療法 比較表
| 項目 | ダイレクトボンディング | ラミネートべニア | セラミッククラン | ワイヤー矯正 | マウスピース矯正 |
| 特徴 | 歯に白い樹脂を直接盛る治療 | 歯の表面を薄く削りセラミックを貼る治療 | 歯を小さく削り被せ物をする治療 | ワイヤーの力で歯を少しずつ動かす治療 | 透明な装置を交換しながら歯を動かす治療 |
| 一般的な費用 (相場) | 約3万~10万円 (1ヶ所あたり) | 約8万~15万円 (1本あたり) | 約10万~20万円 (1本あたり) | 【部分】15万〜40万円 【全体】60万〜100万円〜 | 【部分】15万〜40万円 【全体】60万〜100万円〜 |
| 治療期間・回数 | 最短1日 (通院1回) | 2~4週間 (型取り等で2〜3回) | 2~4週間 (型取り等で2〜3回) | 数ヶ月〜数年 (月1回程度の調整) | 数ヶ月〜数年 (1〜3ヶ月に1回の確認) |
| メリット | ・歯へのダメージが最小限 ・最短1日で治療が終わる ・費用を安く抑えやすい | ・変色しにくく透明感が続く ・広範囲のすき間に対応 ・後戻りの心配がない | ・大きく欠けた歯も補強可能 ・神経を抜いた歯にも適応 ・歯の形や色を大きく変えられる | ・歯並びや噛み合わせを根本から改善 ・重度なすきっ歯など適応範囲が広い | ・透明で装置が目立ちにくい ・食事や歯磨き時に外せて衛生的 ・ワイヤーより痛みが少ない |
| デメリット | ・経年劣化で変色・着色しやすい ・強い衝撃で欠けることがある | ・健康な歯の表面を削る必要がある ・強い衝撃で割れることがある | ・健康な歯を大きく削る必要がある ・神経の処置が必要になる場合がある | ・装置が目立ちやすい ・痛みを伴いやすい ・装置に汚れが溜まりやすく虫歯リスク増 | ・1日20時間以上の装着を守らないと治らない ・骨格的な問題など適応できない症例がある |
【歯科医師・池尻先生からのアドバイス】
すきっ歯でお悩みの方は、まずその原因を知ることが重要です。
池尻歯科医院では、患者様のお口の状態を拝見し、すきっ歯の原因・お困りの症状などをヒアリングした上で、患者様のご希望に沿った治療法をご提案します。
なお、「なるべく歯を削らずに治したい」「最短で1日など短期間の治療希望」といった場合、ダイレクトボンディングが適応となることもあります。
お子様から大人の方まで、お気軽にご相談ください。
初回カウンセリングのお問い合わせはこちら
- 診療時間
- 9:00~12:30 / 14:00~18:30
- 休診日
- 日曜・祝日
- ご案内
- ※土曜日は17:00まで
すきっ歯治療にダイレクトボンディングを選ぶメリット・デメリット
ダイレクトボンディングには多くの魅力がありますが、事前にデメリットも理解しておくことが大切です。
【メリット】
・最短1日で完了・健康な歯を削る量が最小限
歯の型取りが必要ないため、通院1回、最短当日で治療が完了します。また、すき間に直接樹脂を盛り付けるため、健康な歯質をほとんど削らずに治療できる点が最大のメリットです。
・セラミックや矯正治療に比べて費用を抑えられる
大掛かりな装置や歯科技工所での製作工程がないため、セラミック治療(ラミネートベニアやクラウン)や矯正治療と比較して、費用の負担を抑えやすくなります。
【デメリット】
・経年劣化(変色・摩耗)や破損の可能性がある
使用する素材がプラスチック樹脂であるため、年単位で見たときにセラミックに比べて水分や色素を吸収しやすく、変色や摩耗が起こる可能性があります。また、硬いものを噛んだ際に欠けたり取れたりするリスクもあります。
・適応できない症例がある・仕上がりが医師の技術に左右される
すき間が大きすぎる場合や、噛み合わせの力が強くかかる部分には適応できないことがあります。また、直接お口の中で形を作るため、色や形の仕上がりは担当する歯科医師の技術と経験に大きく左右されます。
福岡市西区・姪浜でダイレクトボンディングなら「池尻歯科医院」が選ばれる理由
ダイレクトボンディングで美しい仕上がりと長持ちを実現するには、高度な技術が必要です。福岡市西区姪浜の「池尻歯科医院」が選ばれる理由をご紹介します。

日本顕微鏡歯科学会の認定医・理事による精密治療
院長の池尻 敬先生は、日本顕微鏡歯科学会の認定医であり、理事も務めています。ダイレクトボンディングでは、肉眼の約3〜30倍に患部を拡大できる「マイクロスコープ(歯科用顕微鏡)」を使用し、ミクロン単位での精密な治療を行っています。

マイクロスコープで実現する「自然な美しさ」と「長持ち」
マイクロスコープを使うことで、肉眼では見えないレベルでの精密な接着操作が可能になります。歯と材料のすき間を徹底的になくすことで耐久性が向上し、二次虫歯(治療した部分の再発)のリスクを低減します。さらに、歯とレジンの境目の段差をなくすよう滑らかに研磨できるため、プラークが付きにくく、変色や歯周病の予防にも繋がります。
健康な歯を無駄に削らない「天然歯の保存」への強いこだわり
池尻歯科医院では「天然歯の保存」を治療方針の中心に掲げています。形の調整のために歯を削る場合でも、マイクロスコープによる精密治療で必要最小限にとどめ、無駄に歯を傷つけることなく、ご自身の歯の寿命を守る治療を行っています。
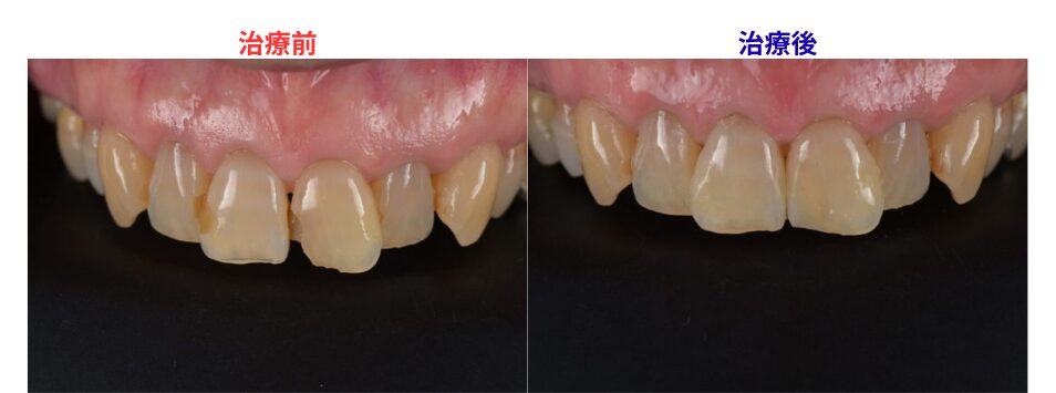
【福岡・池尻歯科医院】すきっ歯のダイレクトボンディング症例
実際に池尻歯科医院で行った、すきっ歯のダイレクトボンディング症例をご紹介します。
症例:前歯の審美治療をなるべく削らずにキレイにしたい方へ

| 主訴 | 【来院時のお悩み】前歯の間にすき間(すきっ歯)、人前で笑うのに抵抗があるセラミックなどの被せ物ではなく、できるだけ削らず治したい金銭面も含めて現実的な治療法を希望されました。 |
| 治療内容 | 口腔内を確認したところ、歯が欠けていたところがあり、また過去に治療した箇所が変色しておりそこも気になるとのことでした。前歯をセラミックの被せ物にすると金額的にかなりかかることと、できるだけ自分の歯を残していきたいという希望がありダイレクトボンディングで治療を行うことにしました。 |
| 治療期間・回数 | 治療期間:1日/治療回数:1回 |
| 費用 | 220,000円 ※1か所あたり110,000円、2か所治療の場合の料金です。 |
| 主なリスク (副作用や注意点) | 経年劣化による変色や摩耗が起こる可能性があります。また、強い衝撃や噛み合わせの力によって、欠けたり脱離したりする場合があります。 |
「自分のすきっ歯も、ダイレクトボンディングでキレイになる?」
ご相談は池尻歯科院へ
- 診療時間
- 9:00~12:30 / 14:00~18:30
- 休診日
- 日曜・祝日
- ご案内
- ※土曜日は17:00まで
ダイレクトボンディングの費用と治療回数・期間
すきっ歯のダイレクトボンディング治療を受ける際の、池尻歯科医院での目安は以下の通りです。
ダイレクトボンディングの費用(自費診療)
見た目の改善を目的とするため、保険適用外の自費診療となります。
- 費用目安: 1歯あたり 110,000円(税込)
治療回数・通院期間の目安
- 治療回数: 1回~2回
- 通院期間: 1日~1か月以内 ※マイクロスコープを使って丁寧に行うため、1回あたりの治療時間は1時間半~2時間ほどかかります。
池尻歯科医院でのダイレクトボンディング治療の流れ

池尻歯科医院における、マイクロスコープを用いたダイレクトボンディング治療のステップをご紹介します。
STEP1:カウンセリング・診査診断
患者様のお悩みやご希望(期間、予算、仕上がりなど)を伺い、視診やレントゲン撮影でお口の状態を正確に把握します。
STEP2:治療計画の説明
診断結果に基づき、具体的な治療法やメリット・デメリット、費用、治療期間をご説明し、ご納得いただいた上で治療を開始します。
STEP3:色の選択(シェードテイキング)
治療する歯や隣の歯の色調を詳細に分析し、数十種類のレジンの中から複数の色を組み合わせて自然な色を選定します。
STEP4:歯の表面処理(接着前処置)
マイクロスコープ下で歯の表面の汚れを徹底的に除去し、レジンが強力に接着するように表面処理を行います。
STEP5:レジンの充填(盛り付け)
選定したレジンを一層一層丁寧に盛り付け、特殊な光を当てて固めていきます。歯の透明感や微細な形を再現しながらすき間を埋めます。
STEP6:形態修正・研磨
固まったレジンの形と噛み合わせを調整し、歯とレジンの境目が分からなくなるまで表面を滑らかに磨き上げます。この工程が変色防止と耐久性に直結します。
STEP7:メインテナンス
治療後もきれいな状態を保つため、定期的な検診とクリーニングをご案内します。当院ではマイクロスコープを扱える歯科衛生士が担当制で予防をサポートします。
すきっ歯のダイレクトボンディングに関するよくある質問(Q&A)

Q. 治療中に痛みはありますか?
A. ダイレクトボンディングは、健康な歯を削る量が非常に少ない治療法であるため、基本的に痛みを感じることはほとんどありません。痛みに敏感な方や不安が強い方には、必要に応じて表面麻酔や局所麻酔を使用し、できる限り痛みに配慮した治療を行いますのでご安心ください。
Q. ダイレクトボンディングの寿命はどのくらいですか?長持ちさせるコツはありますか?
A. 使用する素材の特性上、一般的には数年〜5年程度で経年劣化(変色や摩耗)が起こることがあります。しかし当院では、マイクロスコープを用いて歯とレジンの段差を滑らかに研磨するため、より長持ちしやすいのが特徴です。長持ちさせるためには、日々の丁寧な歯磨きに加え、定期的な歯科医院でのクリーニング(メンテナンス)が非常に重要です。
Q. ダイレクトボンディングをした歯は、後からホワイトニングで白くできますか?
A. ダイレクトボンディングで使用するレジン(プラスチック樹脂)は、ホワイトニングのお薬では白くなりません。そのため、もしご自身の歯全体のホワイトニングも検討されている場合は、「先にホワイトニングを行って歯を白くしてから、その色に合わせてダイレクトボンディングを行う」という順番をおすすめしております。
Q. セラミックの被せ物(クラウン)やラミネートベニアと迷っています……。
A. 最も大きな違いは「健康な歯を削る量」です。セラミックやラミネートベニアはご自身の歯を削る必要がありますが、ダイレクトボンディングは歯をほとんど削らずにすき間を埋めることができます(天然歯の保存)。ただし、すき間が広すぎる場合や噛み合わせの負担が大きい場合はセラミックの方が適していることもあります。まずは診査・診断にてお口の状態を拝見し、それぞれのメリット・デメリットをご説明した上で、一緒に方法を決めていきましょう。
福岡市西区(姪浜)ですきっ歯にお悩みの方は池尻歯科医院へご相談ください
すきっ歯は見た目のコンプレックスになるだけでなく、お口の機能にも影響を与えます。一人で悩まず、まずは専門家にご相談ください。
池尻歯科医院
院長紹介

池尻歯科医院
Ikejiri Dental Clinic
院長池尻 敬
医院情報
池尻歯科医院
〒819-0002
福岡県福岡市西区姪の浜6-2-2
(JR・福岡市地下鉄、「姪浜駅」北口から徒歩8分)

アクセス情報
〒819-0002 福岡県福岡市西区姪の浜6-2-2
交通案内
電車でお越しの方
- JR・福岡市地下鉄「姪浜駅」北口から徒歩8分
車でお越しの方
- 2台分の駐車スペースがございます
予約方法
| 営業時間 | 月 | 火 | 水 | 木 | 金 | 土 | 日・祝 |
|---|---|---|---|---|---|---|---|
| 09:00~12:30 | 〇 | 〇 | 〇 | 〇 | 〇 | 〇 | × |
| 14:00~18:30 | 〇 | 〇 | 〇 | 〇 | 〇 | △ | × |
【休診日】
休診:日曜・祝日
△…土曜日は17:00までとなっております。
「池尻歯科医院」
- 診療時間
- 9:00~12:30 /14:00~18:30
- 休診日
- 日曜、祝日
- ご案内
- 土曜日は17:00までとなっております
