
「すきっ歯の治療法はどんなものがあるの?」
「すぐに治せる? きれいにするための費用は?」
ふと鏡を覗いたときに気になる、前歯のすき間。
笑った時の口元など、見た目のコンプレックスだけでなく、歯の隙間に物が挟まることで食事のしづらさを感じている方もいらっしゃるかもしれません。
すきっ歯には複数の治療法が存在し、それぞれにメリット・デメリットがあります。
安易に選んだ結果、「いつまで経っても改善しない」「高額の費用がかかる」といったトラブルになることも。
そこで当記事では、すきっ歯の治療で悩んでいる患者様に向けて、医師監修のもと各治療法を比較。
池尻歯科医院が得意とする、歯を極力削らずに最短1日で治療を終えられる可能性のある『ダイレクトボンディング』についても、詳しく解説していきます。
監修医

池尻歯科医院 院長
池尻 敬
Ikejiri Kei
福岡市西区姪浜にある「池尻歯科医院」の院長。
日本顕微鏡歯科学会の認定医であり、理事を務める。
マイクロスコープを用いて、歯をできるだけ削らずに自然な見た目に修復する「ダイレクトボンディング治療」が得意。
目次
すきっ歯の主な原因は?
歯科用語では、歯と歯の間にすき間が生じている歯並びのことを「空隙歯列(くうげきしれつ)」と呼びます。
特に、以下の図のように上の前歯の真ん中にすき間がある状態は「正中離開(せいちゅうりかい)」と呼ばれ、悩んでいる方が多い代表的なすきっ歯です。

すきっ歯の原因は、「先天性の原因」と「後天性の原因」と「歯科治療による影響」の3つがあります。
ご自身にとってベストな治療法を選択するためにも、まずはすきっ歯の原因を確認していきましょう。
先天性の原因
生まれつきの要因や、お口の構造的な問題がすきっ歯を引き起こすことがあります。
歯と顎の大きさがアンバランス
顎の大きさに対して、生まれつき歯が小さい「矮小歯(わいしょうし)」の場合、歯がきれいに並んでもスペースが余ってしまい、すきっ歯になります。
特に前から2番目の歯が小さく、すき間ができるケースが多く見られます。
歯の本数の異常
本来生えてくるはずの永久歯が足りない「先天性欠如」の場合、その部分がすき間になります。
逆に、歯の本数が多く、歯と歯の間に余計な歯(正中過剰埋伏歯:せいちゅうかじょうまいふくし)が埋まっていることで、前歯が押されてすき間が開くこともあります。
上唇小帯(じょうしんしょうたい)の異常
上唇の裏側から前歯の付け根に向かって伸びている「すじ」を上唇小帯と呼びます。
このすじが通常よりも太かったり、前歯の間に割り込むように長く伸びていたりすると、前歯がくっつくのを妨げ、すきっ歯の原因となります。
噛み合わせの問題
骨格的に受け口や出っ歯など、上下の噛み合わせが悪いと、特定の歯に不要な力がかかったり、歯が正しい位置に並ばなかったりして、すき間が生じることがあります。
後天性の原因

お子様の成長過程の癖、普段の生活習慣、歯や口の病気など、後天性のすきっ歯の原因には以下のものがあります。
幼少期の癖
指しゃぶり、爪を噛む癖、唇を吸う癖などが長期間続くと、歯並びに影響を与えます。
舌突出癖(ぜつとっしゅつへき)
飲み込む時や話す時に、無意識に舌で前歯を押す癖。この持続的な圧力が、徐々に前歯を押し広げてしまいます。
食いしばりや噛み癖
日常的な食いしばりや歯ぎしり、片側だけで噛む癖などがあると、特定の歯に過度な負担がかかり、歯が移動したり、すり減ったりしてすき間ができることがあります。
歯の喪失(歯を抜いたまま放置)
虫歯や事故で歯を抜き、そのまま放置すると、両隣の歯が倒れ込んできたり、噛み合う相手の歯が伸びてきたりして、全体の歯並びが崩れ、すき間が生じます。
歯周病
歯周病が進行すると、歯を支える骨(歯槽骨)が溶けてしまいます。
これにより歯がグラグラになり、噛む力や舌の力で歯が動いてしまう「病的歯牙移動(びょうてきしがいどう)が原因で、すきっ歯になることがあります。
歯科治療による影響

矯正治療や歯周病治療など、歯並びに関わる歯科治療による影響で、歯と歯の隙間が生じる(すきっ歯になる)こともあります。
矯正治療後の「後戻り」
ワイヤー矯正などで歯の位置を動かした直後は、歯が元の位置に戻ろうとする「後戻り」が起きやすい状態です。
そのため、矯正治療後に歯並びを固定するための装置(リテーナー)の装着を怠ると、歯が動いてしまい、「せっかく歯並びを改善したのにすきっ歯になってしまう」というケースもあります。
矯正治療の計画上のすき間
抜歯を伴うケースや、患者様の噛み合わせや歯の大きさのバランス(例:矮小歯など)によっては、わずかな隙間が残ることや、スペースが完全に閉じきらないケースも稀にあります。
歯科治療後のブラックトライアングルの顕在化
ブラックトライアングルとは、歯と歯の間にできる黒く見える三角形のすき間のことで、とくに下の前歯に起こりやすい症状です。
矯正治療や歯周病治療で歯並びを改善したことで、隠れていたブラックトライアングルが見えるようになり、すきっ歯になったと感じることがあります。
また、虫歯治療で歯茎の炎症が治まったり、歯のメインテナンス(クリーニング)の際に歯石を除去したことで、元々あったブラックトライアングルが顕在化するケースもあります。
不適合な詰め物・被せ物
詰め物や被せ物(クラウン)の形が不適切で、隣の歯との接触が弱かったり、噛み合わせのバランスが崩れたりすると、歯が徐々に移動して隙間ができてしまう可能性があります。
すきっ歯の治療法6選:費用・メリット・デメリットの比較
すきっ歯は、「原因」と「どの程度のすき間なのか」、そして「患者様の希望」によってベストな治療法が変わってきます。
それぞれの治療法について解説していくので、ご確認ください。
治療法 比較一覧表

なお、上記の費用や期間はあくまで目安であり、実際に治療にあたる歯科医院や患者様の症状によって異なります。
ダイレクトボンディング
ダイレクトボンディングは、コンポジットレジンと呼ばれる歯科用の白いプラスチック樹脂を歯に直接盛り付けて形を整える治療法のことです。
すきっ歯の治療では、歯をほとんど削らなくて済むのが特徴で、症状によっては一切歯を削らずにすき間だけを埋めることも可能です。
【メリット】
・歯へのダメージが最小限
・治療が最短1日(1回の通院)で完了する
・セラミック治療や矯正治療と比較して費用の負担が少ない
・修復(リペア)が比較的容易
【デメリット】
・長期間の使用で変色や摩耗が起こる可能性がある
・色や形などの仕上がりは歯科医師の技術力に左右される
・大きなすき間や噛み合わせが強い部分には適応できない場合もある
すき間が狭い場合や短期間での治療を希望される方の場合、治療費用や通院の負担が少なくなるため、ダイレクトボンディングによる治療が候補となります。
池尻歯科医院の症例紹介
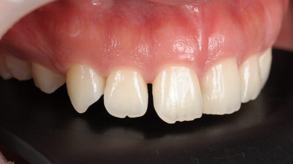
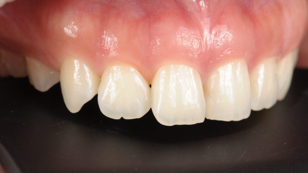
【症例①】
「短期間ですきっ歯を治したい」「歯を削りたくない」といった患者さんのご希望があり、ダイレクトボンディングでの治療を行いました。


| 年齢・性別 | 27歳・女性 |
| 主訴 | 前歯のすき間を短期間で改善したい。 できるだけ歯を削りたくない。 |
| 治療法 | ダイレクトボンディング |
| 治療回数/通院期間 | 1回/当日中に治療完了 |
| 料金 | 1歯:88,000円(税込) |
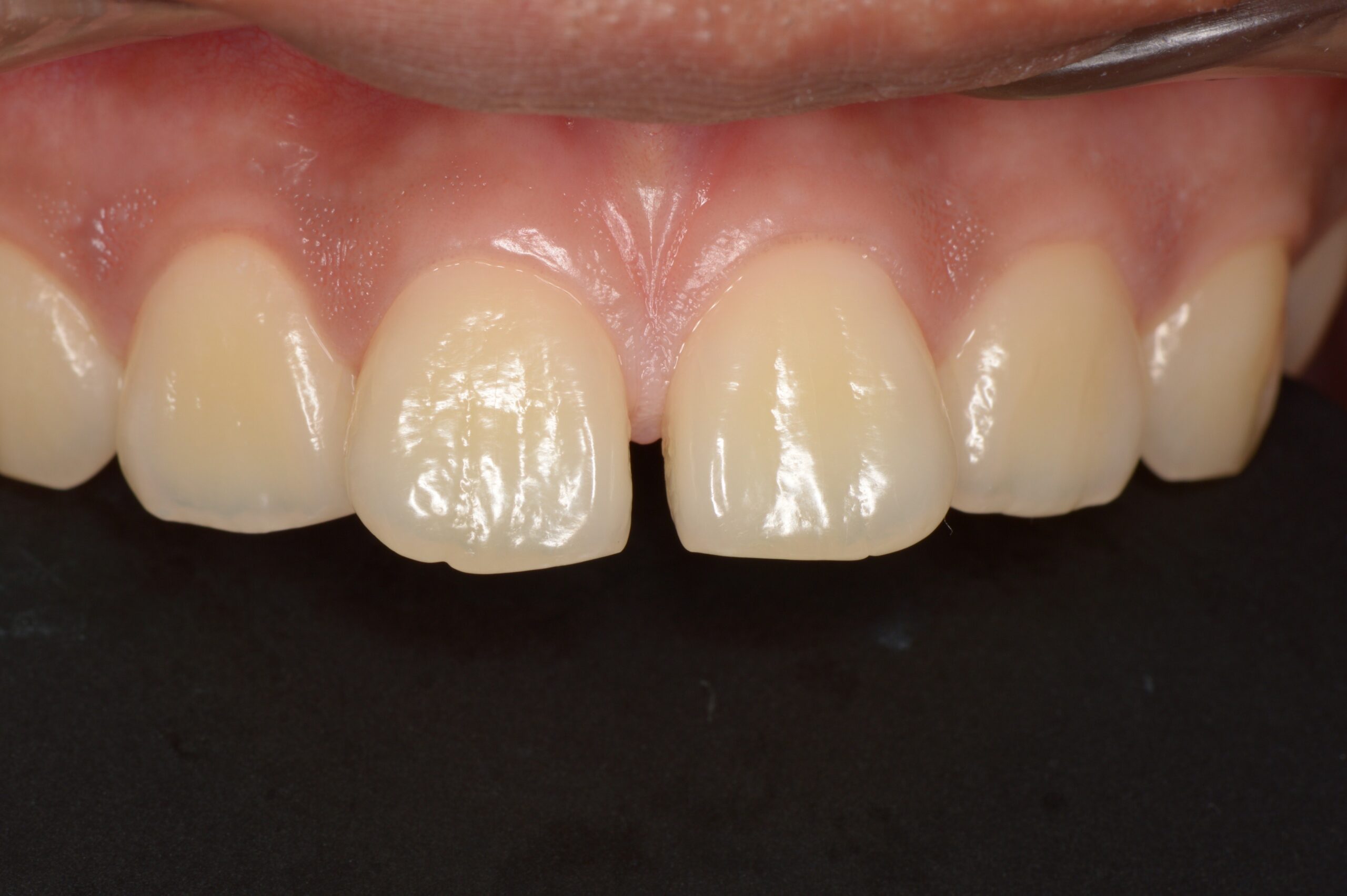
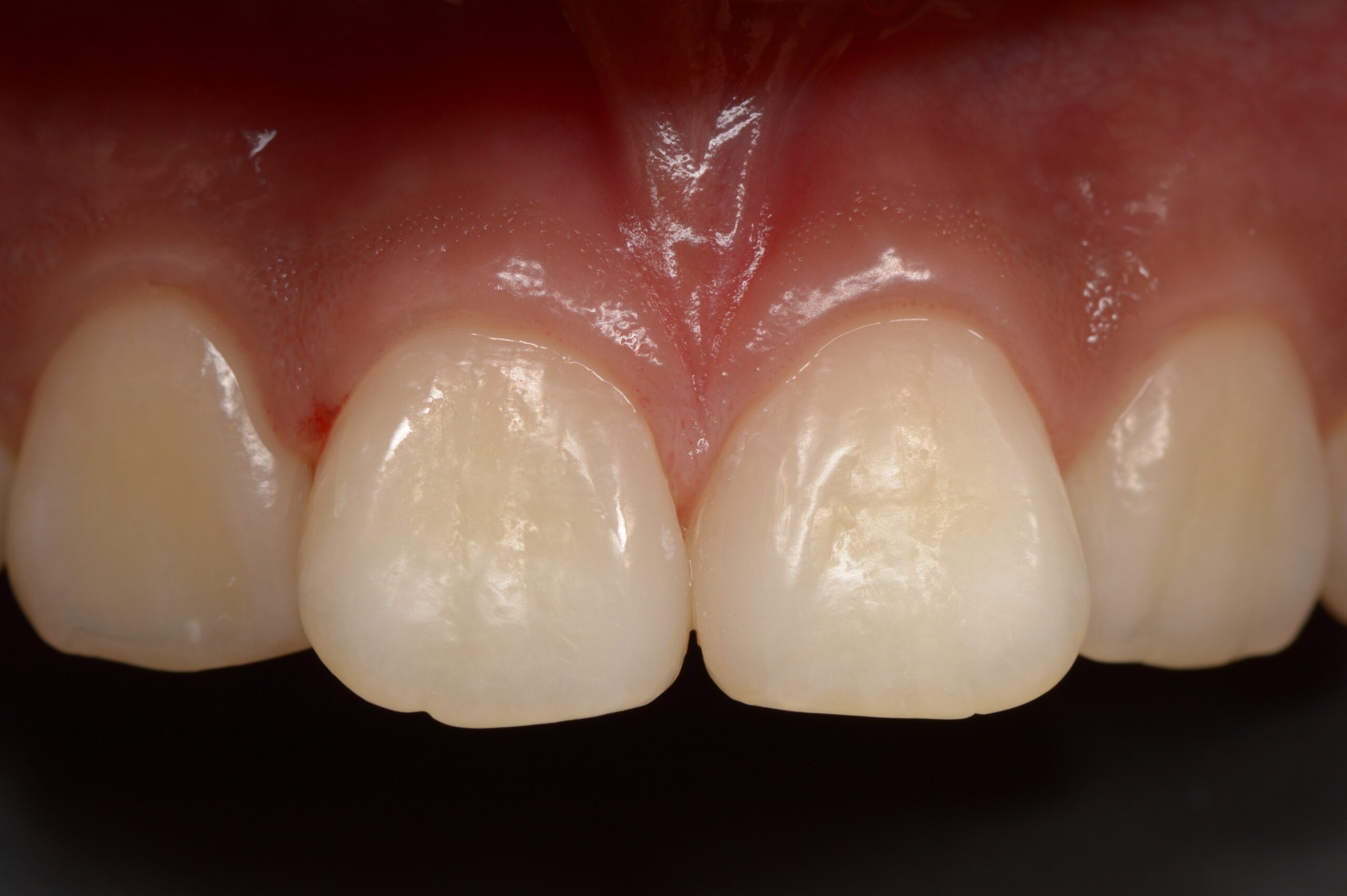
【症例②】
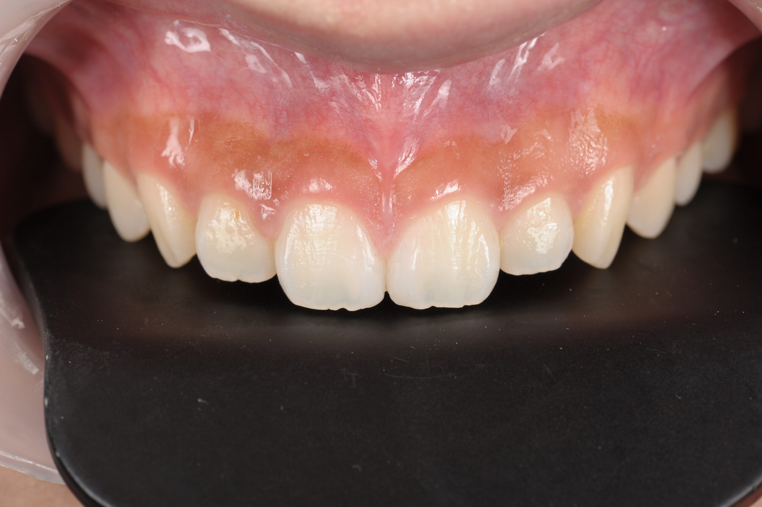
「矯正治療後にできてしまった歯のすき間が気になる」というご希望から、ダイレクトボンディングでの治療となりました。

前歯の間にわずかな隙間(すきっ歯)が残っております。

ラバーダムは、唾液やその中に含まれる細菌の侵入を防ぐゴム製のシートです。

患者様の歯の形や色に合わせて調整し、
自然な見た目に近づくように仕上げました。


| 年齢・性別 | 20代・女性 |
| 主訴 | 矯正治療後、前歯の間にわずかな隙間(すきっ歯)が残っており、笑ったときに気になる。 もう一度矯正するほどではないが、自然に隙間を埋めたい。 |
| 治療法 | ダイレクトボンディング |
| 治療回数/通院期間 | 1回/当日中に治療完了 |
| 料金 | 合計:220,000円(税込) |
| 備考 | 矯正後に残ったすき間や前歯の形のわずかな左右差、小さな欠けなどを自然な形に調整することも可能です。 |
ダイレクトボンディングは、歯を削る量をできるだけ抑えて見た目を整えたい方に適した方法です。
通院回数は(基本的に)1回で済むことが多い治療ですが、その分、当日の処置には1時間半〜2時間ほど必要となる場合があります。
また、治療後すぐに食事・会話が可能なことが多く、大きな制限は少ない傾向にあります。
料金や治療回数、通院期間は、使用する材料やお口の状態などによって異なります。
詳細は、患者様のご状況を伺った上でお伝えしますので、お気軽にご相談ください。
ラミネートベニア
ラミネートべニアは、 歯の表面をごく薄く(0.3~0.5mm程度)削り、その上に付け爪のようにセラミック製の薄いチップを強力に貼り付ける治療法です。
歯を削る必要はありますが、ダイレクトボンディングよりも広範囲のすきっ歯の治療が可能です。
【メリット】
・変色しにくく、天然歯のような透明感と光沢が長持ちする
・すき間を埋めるだけでなく矮小歯のような歯の形もきれいに整えられる
・ダイレクトボンディングより耐久性が高い
【デメリット】
・健康な歯を削る必要がある
・ダイレクトボンディングよりも費用が高額
・強い衝撃により割れや欠けが生じることもある
・型取りが必要で、治療期間が2~4週間ほどかかる
歯のすき間が広い場合や、歯の形を全体的に整えたい場合、ラミネートべニアが治療法として適応します。
セラミッククラウン
セラミッククラウンは、歯を全体的に一回りほど小さくなるよう削り、上からセラミック製の被せ物をかんむり(クラウン=王冠)のように被せて、歯をまるごと覆う治療法のことです。
すきっ歯の見た目の改善だけでなく、大きく欠けた歯や神経を抜いた歯を補強する役割もあります。
【メリット】
・歯のすき間だけでなく、歯の形や色、傾きなども改善できる
・ラミネートべニア同様に審美性と耐久性に優れる
・大きな虫歯を治療した歯や神経を抜いた歯にも適応できる
【デメリット】
・歯を削る量が多く、歯の神経を取る処置が必要になることもある
・費用が高額になる傾向にある
・型取りが必要で、治療期間が2~4週間ほどかかる
セラミッククラウンは、重度の虫歯や根管治療後の歯のすき間の改善に適応します。
一方で、虫歯などの問題がない健康な歯の「小さなすき間」を埋めるだけが目的の場合、歯を削る量が多すぎるため、すきっ歯の治療法としては向いていません。
ワイヤー矯正
ワイヤー矯正は、歯の表面または裏側にブラケットという装置を取り付け、ワイヤーを通して力をかけ、歯そのものを動かしてすき間を閉じる治療法です。
歯を移動させることですき間を埋めるので、歯を大きく削ることはなく、歯並びや噛み合わせから根本的な改善が見込めます。
【メリット】
・ほとんど歯を削らない
・特定の歯だけでなくお口全体の歯のすき間を整えられる
・自分の歯を生かした治療ができる
【デメリット】
・装置が目立ちやすい
・治療中の痛みや違和感、虫歯のリスクがある
・治療後に「後戻り」を防ぐための保定装置(リテーナー)が必要
・費用が高額になる
・治療期間が数か月~数年単位
ワイヤー矯正はお口全体の歯並びを整えることができるので、すきっ歯の治療として最も適応範囲が広くなります。
ただし、治療後に保定装置を正しく使用しないと、歯が元の位置に戻ろうとする「後戻り」が起きて、歯と歯のすき間ができる原因になります。
また、患者様の歯並びや顎の状態にもよりますが、ワイヤー矯正では抜歯が必要になることがあるので注意が必要です。
抜歯が検討されるケースは、歯が密集して重なり合うように歯並びがガタガタになっている(叢生:そうせい)、口元全体が突出している(上下顎前突:じょうげがくぜんとつ)、噛み合わせ(咬合:こうごう)に大きなズレがある場合などです。
【注意事項】
実際にワイヤー矯正が適応となるか、抜歯が必要かは、歯科医師・矯正医師の総合的な判断が必要になるため、まずは歯科医院へご相談ください。
マウスピース矯正
マウスピース矯正は、お口の中に透明なマウスピース型の装置を入れ、定期的に交換しながら歯を少しずつ動かしてすき間を閉じる治療法です。
固定式のワイヤー矯正より矯正力は弱まりますが、その分痛みが少なく、装置が着脱式であることが特徴です。
【メリット】
・ほとんど歯を削らない
・装置が透明なので目立ちにくい
・食事や歯磨きの際に取り外しができるので衛生的
・ワイヤー矯正より痛みが少ない傾向にある
【デメリット】
・「1日20時間以上」など装着時間を自己管理しなければならない
・ワイヤー矯正と比較すると適応できない症例が多い
・治療後に「後戻り」を防ぐための保定装置(リテーナー)が必要
・ワイヤー矯正同様、費用が高額になる
・治療期間が数か月~数年単位
マウスピース矯正もワイヤー矯正と同様に、お口全体の歯並びや噛み合わせ(咬合:こうごう)の改善が見込めます。
患者様の症状によってどちらを選択すべきかは異なります。
加えて、マウスピース矯正でも、治療後に保定装置を正しく使用しないと、歯が元の位置に戻ろうとする「後戻り」が起きる(すきっ歯の原因になる)ので注意が必要です。
口腔筋機能療法(MFT)
口腔筋機能療法(Oral Myofunctional Therapy)とは、 すきっ歯の原因が「舌の癖(舌突出癖)」などである場合に、舌や唇、頬の筋肉を正しく使えるようにするリハビリ的なトレーニングのことです。
マウスピース矯正やワイヤー矯正の効果を高めるための補助的な役割としての位置づけが一般的です。
【メリット】
・すきっ歯の根本的な原因(癖など)の改善が見込める
・歯を削らない
・装置を装着する必要がない
・矯正治療後の「後戻り」防止に有効
【デメリット】
・口腔筋機能療法(MFT)単体では歯のすき間を完全に閉じるのは難しい
・長期継続的なトレーニングが必要
・効果が出るまでに時間がかかる(3か月~数年単位)
口腔筋機能療法は、とくに小さなお子様や、加齢による口腔機能の低下がみられる高齢者の方に適応されることが多い治療法です。
池尻歯科医院のすきっ歯治療|「きれいに、早く、長持ち」マイクロスコープによるダイレクトボンディング

すきっ歯による悩みや治療への不安は患者様によって異なりますが、「健康な歯を削りたくない」「なるべく短期間で治したい」「きれいな状態を長持ちさせたい」という想いは、どなたも共通してあるものです。
そこで、福岡県福岡市西区姪浜にある「池尻歯科医院」では、マイクロスコープを使った精密なダイレクトボンディング治療を提案しています。
POINT
・健康な歯へのダメージが最小限
・最短当日で治療完了
・他の治療法よりも比較的費用の負担が少ない
・仕上がりが綺麗
高い審美性を叶える|認定医によるミクロン単位での精密治療
ダイレクトボンディングは、歯をほぼ削ることなく最短当日にすきっ歯の治療が完了します。
しかしながら、「歯科用の特殊な樹脂を直接歯に盛り付ける」という治療法であるため、歯科医師の技術や経験によって、仕上がりには大きな差が生じます。
【具体的なポイント】
・天然の歯となじむような色合わせ
・見た目だけでなく噛み合わせも考慮した形作り
・変色や離脱を防ぎ耐久性を高める接着操作
・歯を削る場合の微細な調整
池尻歯科医院の院長・池尻敬先生は、日本顕微鏡歯科学会の認定医・理事であり、マイクロスコープ(歯科用顕微鏡)を使った精密歯科治療を得意とするドクターです。
マイクロスコープを用いた肉眼の最大20倍もの拡大視野で、健康な天然歯と見分けがつかないよう、自然な見た目に仕上げていきます。
※実際に池尻歯科医院でマイクロスコープによるダイレクトボンディングで前歯のすきっ歯の治療をした患者様の症例写真をご覧ください。
なぜ「長持ち?」歯の健康も守るマイクロスコープの真価
すきっ歯の治療で患者様が第一に望まれるのは「見た目の改善(審美性の向上)」です。
しかし、マイクロスコープを使いこなす日本顕微鏡歯科学会の認定医によるダイレクトボンディング治療は、以下のようなメリットもあります。
精密な接着による耐久性の向上・虫歯の防止
マイクロスコープを用いることで、歯の表面処理やレジンを充填する際、肉眼では見えないレベルで精密な操作が可能になり、歯と材料の「すき間」を徹底的になくします。
これにより、レジンが取れにくくなって耐久性が向上する上、すき間からの二次的な虫歯のリスクも低減できます。
滑らかな仕上がりによる変色や歯周病の予防
マイクロスコープによる拡大視野は、確実な研磨を可能にします。
治療の最後に歯とレジンの境目を滑らかに磨き上げる際、「段差」をなくすことで、汚れ(プラーク)が付着しにくくなり、変色や歯肉炎の予防に繋がります。
健康な歯質を無駄に削らず歯の寿命を守る
患者様の症状によっては、歯のすき間を埋めていく際に、形の調整のために歯を削らなくてはならないこともあります。
しかし、マイクロスコープによる精密治療は、必要最小限だけを削るので、無駄に歯を傷つけず、歯がもろくなるのを防ぎます。
【POINT】
マイクロスコープは日本全国の歯科医院でも20%程度の普及率と言われています。
また、日本顕微鏡歯科学会の認定医の資格を持つ歯科医師は、福岡エリアでは池尻先生を含めて14人です。(2025年10月現在)
マイクロスコープによるダイレクトボンディング治療について詳しく知りたい方は、ぜひ一度池尻歯科医院にてご相談ください。
院長の池尻先生が、患者様の歯の状態やご希望(期間・予算)を伺い、最適な治療法をご提案します。
JR・福岡市地下鉄「姪浜駅」北口より徒歩8分
池尻歯科医院
- 診療時間
- 9:00~12:30 /14:00~18:30
- 休診日
- 日曜、祝日
- ご案内
- 土曜日は17:00までとなっております
ダイレクトボンディングのデメリット・注意点
メリットの多いダイレクトボンディングですが、もちろん万能ではありませんので、注意が必要です。
主なデメリット・注意点は以下の3点です。
適応できない症例がある
すき間が大きすぎる場合や、歯並び全体に大きな問題がある場合、噛み合わせが非常に強い部分など、ダイレクトボンディングでは対応が難しいケースがあります。
無理に行うと、不自然に大きな歯になったり、修復した部分がすぐに破損したりする可能性があります。
経年劣化(変色・摩耗)の可能性
材料はレジン(プラスチック)であるため、セラミック(陶材)と比較すると、水分や色素を吸収しやすく、年単位で見たときに変色や摩耗が起こる可能性があります。
ただし、先述の通り、マイクロスコープ下で精密に研磨し、天然歯との段差をなくすことで、変色や着色のリスクを最小限に抑えることは可能です。
脱離・破損のリスク
強い衝撃や、硬いものを噛んだ際に、欠けたり取れたりする可能性があります。
これは天然の歯でも起こり得ることですが、特に前歯で硬いものを噛み切る癖がある方は注意が必要です。
なお、万が一欠けた場合でも、多くは比較的簡単(来院当日中など)に修復が可能です。
ダイレクトボンディングの費用
ダイレクトボンディングは、保険適用のコンポジットレジン充填(主に虫歯治療)とは異なり、審美性など見た目の改善が目的であるため、保険適用外の自費診療です。
【池尻歯科医院での費用目安】
1歯あたり:税込110,000円
実際に歯の状態を拝見した上で、追加の治療が必要な場合は事前にお伝えしますのでご安心ください。
ダイレクトボンディングの治療回数・通院期間
すきっ歯の治療でダイレクトボンディング治療を行う場合、一般的な治療回数や通院期間は以下の通りです。
【治療回数・通院期間の目安】
治療回数:1回~2回
通院期間:1日~1か月以内
なお、ダイレクトボンディングは、マイクロスコープなどを使ってお口の中を直接確認しながら丁寧に行う治療であるため、1回あたりの治療時間は1時間半~2時間ほど必要です。
池尻歯科医院のすきっ歯の治療|ダイレクトボンディングの流れ
マイクロスコープを用いたダイレクトボンディング治療は、以下のような流れで進めます。
ステップ①カウンセリング・診査診断
まず、患者様のお悩みやご希望(期間、予算、仕上がり)を詳しく伺います。
その後、お口の中の状態を視診、レントゲン撮影などで正確に把握し、ダイレクトボンディングが最適な治療法か、他の治療法が良いかを診断します。
JR・福岡市地下鉄「姪浜駅」北口より徒歩8分
池尻歯科医院
- 診療時間
- 9:00~12:30 /14:00~18:30
- 休診日
- 日曜、祝日
- ご案内
- 土曜日は17:00までとなっております
ステップ②治療計画の説明
診断結果に基づき、具体的な治療法、メリット・デメリット、費用、治療期間をご説明します。患者様に十分にご納得いただいた上で、治療を開始します。
ご不明点やご不安なことがあればお聞かせください。
ステップ③色の選択(シェードテイキング)
治療する歯や隣の歯の色調を詳細に分析し、使用するレジンの色を数十種類の中から選びます。自然な仕上がりのために、1色ではなく複数の色を組み合わせて使用します。
ステップ④歯の表面処理(接着前処置)

マイクロスコープでお口の中を見ながら、歯の表面の汚れを徹底的に除去し、レジンが強力に接着するように歯の表面を処理します。
歯のすき間の状態によっては、形を整えるために歯の縁を最小限だけ整えることもありますが、歯の寿命を縮めないためにも基本は削らずに治療を進めます。
ステップ⑤レジンの充填(盛り付け)
マイクロスコープ下で、選定したレジンを一層一層丁寧に盛り付け、光を当てて固めていきます。歯の透明感や微細な形態を再現しながら、すき間を埋めていきます。
ステップ⑥形態修正・研磨
固まったレジンの形を整え、噛み合わせを調整します。
最後に、歯とレジンの境目が分からなくなるまで、表面を滑らかに磨き上げます。この研磨が、治療後の変色防止と耐久性に直結します。
ステップ⑦メインテナンス
治療完了後も、きれいな状態を長持ちさせるため、定期的な検診とクリーニングをお勧めしています。

なお、池尻歯科医院では、マイクロスコープを扱える歯科衛生士を担当制としており、治療だけでなく予防にも注力しているのがポイントです。
歯科医師と歯科衛生士が連携して、患者様とコミュニケーションを取りながらお口の健康を守るお手伝いをしていきます。
すきっ歯の治療でよくある質問と回答(Q&A)
ここでは、実際にすきっ歯の治療を検討されている方からの「よくある質問と回答」を掲載します。

Q. すきっ歯の治療は保険適用ですか?
A. すきっ歯の原因によりますが、見た目の改善(審美目的)で治療を行う場合、ダイレクトボンディング、ラミネートベニア、矯正治療などはすべて自費診療(保険適用外)となります。
例外として、虫歯が原因ですき間ができた場合の治療や、先天的に歯の本数が足りない一部の症例での矯正治療など、特殊な条件下でのみ保険が適用されるケースもありますが、非常に稀です。
Q. ダイレクトボンディングで治した後、後戻りしませんか?
A. ダイレクトボンディングは、歯に材料を足して「形を変える」治療です。矯正治療のように「歯を動かす」わけではないため、「後戻り」という概念はありません。
ただし、すきっ歯の原因が「舌の癖」や「噛み合わせ」にある場合、その癖が改善されないと、治療した歯やその周りの歯に過度な力がかかり、レジンが破損したり、別の場所がすきっ歯になったりする可能性はゼロではありません。
Q. 子供のすきっ歯(乳歯)も、すぐに治療したほうがいいですか?
A. お子様の場合、成長過程で顎が広がり、乳歯がすきっ歯(発育空隙)になるのは、むしろ正常なことなのでご安心ください。
後に生えてくる大きな永久歯が並ぶためのスペースが確保されている証拠でもあります。
ただし、生え変わりの時期を過ぎても前歯(永久歯)のすき間が閉じない場合、上唇小帯の異常や過剰歯、舌の癖などが隠れている可能性があります。気になる場合は、一度ご相談ください。
Q. まずは相談や検査だけでもいいですか?
もちろんです。すきっ歯の治療に限らず、虫歯や歯周病のチェック、歯石除去などのクリーニングも行いますので、お気軽にご来院ください。
すきっ歯は、見た目が気になるだけではなく、発音や噛み合わせにも影響することがあり、何よりもご本人のコンプレックス(心の負担)になっていることが問題です。
しかし現在では、ダイレクトボンディングのように、症状によってはまったく歯を削らず、短期間で驚くほど自然に改善できる治療法も確立されています。
「自分の場合はどうだろう?」と一人で悩まず、お口のお困りごとは専門家である歯科医師にご相談ください。
池尻歯科医院のアクセス情報
JR・福岡市地下鉄「姪浜駅」北口から徒歩8分。2台分の駐車場を完備。
池尻歯科医院では、「天然歯の保存」を治療方針の中心に掲げ、必要最小限の切削で歯を守る治療を行っています。さらに、歯髄(神経)の保存にも最大限の配慮を行っています。
池尻歯科医院
院長紹介
アクセス・医院情報
池尻歯科医院
〒819-0002
福岡県福岡市西区姪の浜6-2-2
(JR・福岡市地下鉄、「姪浜駅」北口から徒歩8分)

| 営業時間 | 月 | 火 | 水 | 木 | 金 | 土 | 日・祝 |
|---|---|---|---|---|---|---|---|
| 09:00~12:30 | 〇 | 〇 | 〇 | 〇 | 〇 | 〇 | × |
| 14:00~18:30 | 〇 | 〇 | 〇 | 〇 | 〇 | △ | × |
【休診日】
休診:日曜・祝日
△…土曜日は17:00までとなっております。
「池尻歯科医院」
- 診療時間
- 9:00~12:30 /14:00~18:30
- 休診日
- 日曜、祝日
- ご案内
- 土曜日は17:00までとなっております
